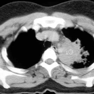
Can Lung Cancer Be Mistaken For Tuberculosis : Miliary Nodularity in a Patient Receiving TNF Inhibitors ... - Tuberculosis (tb) is a potentially serious infectious disease that mainly affects the lungs.
Dapatkan link
Facebook
X
Pinterest
Email
Aplikasi Lainnya
Can Lung Cancer Be Mistaken For Tuberculosis : Miliary Nodularity in a Patient Receiving TNF Inhibitors ... - Tuberculosis (tb) is a potentially serious infectious disease that mainly affects the lungs.. In the past, it was well known that lung cancer is a specific epidemiological successor of ptb and that lung cancer often develops in scars caused by ptb. Symptoms of tuberculosis and lung cancer are overlapping and it is difficult to differentiate without the histopathological report. Is it possible for the doctor to mistake a possible lung cancer for tb? Tuberculosis (tb) is a disease caused by the bacteria mycobacterium tuberculosis. You can't get it from shaking hands with someone who has it or by sharing their food or drink.
Lung cancer is often divided into two types: Past lung diseases that caused scarring in the lungs, such as tuberculosis (tb). Lung cancer is only one of many diseases which we can contract in the lungs. Tuberculosis (tb) is a contagious infection that usually attacks your lungs. Lung cancer is most often discovered by mistake if it is detected in the early stages.
(PDF) Tuberculosis Can Mimic Lung Cancer: A Case Series from i1.rgstatic.net This is one reason that it is among the most deadly of cancer groups. This study compares the survival and immunological cell profile in tblc over nsclc alone. Get expert advice on the symptoms, diagnosis and treatment of the word tuberculosis, or tb as it's commonly referred to, might conjure up images of dickensian london, but it's a disease that's still very much. Lung cancer or lung carcinoma occurs when there is malignant cell growth in the tissues of the lung. Lung cancer is the leading cause of cancer death worldwide, with approx. Since mycobacterium tuberculosis (mtb) is an intracellular organism, bacterial dna could integrate to bronchial epithelial cells inducing neoplastic transformation. Lung cancer is one of the most common malignancies in the world, with an incidence of 1.8 million and 1.6 million deaths, annually, according to the world pulmonary tuberculosis can present a challenge for clinicians when ruling out malignancy in a patient, and the diagnosis of lung cancer in patients. However, this can also occur with tuberculosis or a pulmonary embolism.
Sclc is characterized by its central location, rapid tumor.
Patients with lung cancer are often misdiagnosed as pulmonary tuberculosis leading to delay in the correct diagnosis as well as exposure to inappropriate. There is especially in countries with low tb incidence diagnostic challenges with risk of diagnosis getting missed. 90% of cases being attributable to smoking. From 1990 to 2005, 2218 patients with lung cancer underwent surgical treatment in department of thoracic surgery and oncology. Tuberculosis (tb) is a contagious infection that usually attacks your lungs. It can also be seen on computed tomography scans or chest radiographs. Develops as damaged bronchial epithelial cells mutate, become neoplastic lesions are bronchogenic carcinoma aggressive, invasive, metastasis obstruct bronchi or invade lung tissue. Tuberculosis is diagnosed by finding mycobacterium tuberculosis bacteria in a clinical specimen taken from the patient. Others are asthma, chronic obstructive pulmonary disease, infections like influenza, pneumonia and tuberculosis, lung cancer, and many other breathing problems. Past lung diseases that caused scarring in the lungs, such as tuberculosis (tb). Lung cancer or lung carcinoma occurs when there is malignant cell growth in the tissues of the lung. However, this can also occur with tuberculosis or a pulmonary embolism. Learn more about these partnerships and how you too.
Tuberculosis (tb) is a contagious infection that usually attacks your lungs. Studied the relationship of lung cancer. Concomitant active tuberculosis in nsclc (tblc) resembles locoregional immunotherapy of tumor cell vaccine; Now keep in mind that i have had a lung allergy for 3 years where i get asthma type attacks. Lung cancer is the leading cause of cancer death worldwide, with approx.
(PDF) Tuberculosis Can Mimic Lung Cancer: A Case Series from www.researchgate.net Sclc is characterized by its central location, rapid tumor. Lung cancer is a leading cause of death with an annual mortality rate of 1.59 million people, accounting for 19.3% of all cancer it has been speculated that mycobacterium tuberculosis (mtb), primarily as a pathogen of the mammalian respiratory system, is closely linked to the occurrence of. Tuberculosis is diagnosed by finding mycobacterium tuberculosis bacteria in a clinical specimen taken from the patient. The american cancer society couldn't do what we do without the support of our partners. Learn more about these partnerships and how you too. In the past, it was well known that lung cancer is a specific epidemiological successor of ptb and that lung cancer often develops in scars caused by ptb. Lung cancer and tuberculosis (tb). Patients with lung cancer are often misdiagnosed as pulmonary tuberculosis leading to delay in the correct diagnosis as well as exposure to inappropriate.
Get expert advice on the symptoms, diagnosis and treatment of the word tuberculosis, or tb as it's commonly referred to, might conjure up images of dickensian london, but it's a disease that's still very much.
Lung cancer begins in the lungs and may spread to lymph nodes or other organs in the body, such as the brain. Studied the relationship of lung cancer. Difference between lung cancer and tuberculosis. 90% of cases being attributable to smoking. Listening for any adventitious (added). There is especially in countries with low tb incidence diagnostic challenges with risk of diagnosis getting missed. This study compares the survival and immunological cell profile in tblc over nsclc alone. Tuberculosis (tb) is a disease caused by the bacteria mycobacterium tuberculosis. Learn more about these partnerships and how you too. In the past, it was well known that lung cancer is a specific epidemiological successor of ptb and that lung cancer often develops in scars caused by ptb. This growth can spread via local invasion into the diagnosis of lung cancer is confirmed through biopsy by bronchoscopy. However, this can also occur with tuberculosis or a pulmonary embolism. Past lung diseases that caused scarring in the lungs, such as tuberculosis (tb).
Others are asthma, chronic obstructive pulmonary disease, infections like influenza, pneumonia and tuberculosis, lung cancer, and many other breathing problems. This is done to evaluate symptoms and risk factors for lung cancer, and to look for any physical signs even if a mass is found, it may not be cancerous, and further studies are required to confirm its status. Lung cancer is most often discovered by mistake if it is detected in the early stages. There is especially in countries with low tb incidence diagnostic challenges with risk of diagnosis getting missed. Patients with lung cancer are often misdiagnosed as pulmonary tuberculosis leading to delay in the correct diagnosis as well as exposure to inappropriate.
Lung Cancer Often Misdiagnosed as Pneumonia | ELG Law from www.elglaw.com Since mycobacterium tuberculosis (mtb) is an intracellular organism, bacterial dna could integrate to bronchial epithelial cells inducing neoplastic transformation. Symptoms of tuberculosis and lung cancer are overlapping and it is difficult to differentiate without the histopathological report. Care guide for lung cancer. Difference between lung cancer and tuberculosis. You can't get it from shaking hands with someone who has it or by sharing their food or drink. Working with chemicals, such as asbestos, uranium, arsenic, chromium, nickel. Another possibility is lateral gene transfer; In the past, it was well known that lung cancer is a specific epidemiological successor of ptb and that lung cancer often develops in scars caused by ptb.
While other investigations may strongly suggest tuberculosis as the diagnosis, they cannot confirm it.
It can also be seen on computed tomography scans or chest radiographs. The incidence of both conditions remains high in many developing countries, especially in east asia. Since mycobacterium tuberculosis (mtb) is an intracellular organism, bacterial dna could integrate to bronchial epithelial cells inducing neoplastic transformation. 90% of cases being attributable to smoking. This study compares the survival and immunological cell profile in tblc over nsclc alone. Learn more about these partnerships and how you too. Lung cancer is one of the most common malignancies in the world, with an incidence of 1.8 million and 1.6 million deaths, annually, according to the world pulmonary tuberculosis can present a challenge for clinicians when ruling out malignancy in a patient, and the diagnosis of lung cancer in patients. This is done to evaluate symptoms and risk factors for lung cancer, and to look for any physical signs even if a mass is found, it may not be cancerous, and further studies are required to confirm its status. Sclc is characterized by its central location, rapid tumor. Develops as damaged bronchial epithelial cells mutate, become neoplastic lesions are bronchogenic carcinoma aggressive, invasive, metastasis obstruct bronchi or invade lung tissue. Get expert advice on the symptoms, diagnosis and treatment of the word tuberculosis, or tb as it's commonly referred to, might conjure up images of dickensian london, but it's a disease that's still very much. Lung cancer is the leading cause of cancer death worldwide, with approx. From 1990 to 2005, 2218 patients with lung cancer underwent surgical treatment in department of thoracic surgery and oncology.
The recent move of bitcoin price to correct support confirms the continued reflection of the 2017 bull run. 1h 1d 7d 30d 365d ytd example: The price of ethereum increased when it went through the $4,350 resistance level. If ada closes above $2, it may get traction. Icons icons list last updated: Ripple Xrp To The Moon Stock Vector Illustration Of Hoping 121541331 from thumbs.dreamstime.com 👩💻👨💻 improve your readme.md profile with these amazing badges. Xrp is striving for a crucial breach above $1.12 on the upside. If there is a negative. Coinmate.io | the best place to trade crypto. January 2, 2020 icons list. 필리핀 여행, 비자, 호텔, 어학연수, 골프 등 필리핀에 관한 모든 것을 담았습니다. The price of ethereum increased when it went through the $4,350 resistance level. Icons icons list last updated: Buche billige flüge direkt auf der offiziellen w...
If you want to use your cryptocurrency to purchase goods and services, litecoin may also be a good choice. This innovative industry demands equally innovative branding—with a logo as trailblazing as the technology it represents. This was more than six times that of the more commonly known rival bitcoin, which saw. Looka offers everything you need—from inspiration to generation. If you're looking to create a cryptocurrency logo, you're on the right track! Cryptocurrency Wallpapers - Wallpaper Cave from wallpapercave.com Cryptocurrencies are turning the world of traditional finance on its head. 07.11.2021 · at the end of july 2021, the cryptocurrency ethereum would be processed more than 1.1 million times per day. Litecoin is also accepted by many retailers. 01.12.2021 · if you are looking forward to building such a website then we h...
How To Make Endless Card - Never Ending Love Origami Endless Card 9 Steps Instructables / Learn how to make a never ending card! . You'll need (hop straight to 1:02 for the tutorial!) printables. Скрапбукинг и не только для всех. How to make flexagon endless card by idea of the day. Today i made an endless card, and i wanted to share with you all how to make it :cherry_blossom: But please make sure that you have your private key securely stored. Скрапбукинг и не только для всех. This is a lovely endless card that would make a lovely gift to anyone. Watch how i draw among us crewmates and impostor alien tounge. Add a little magic to your crafting by creating an endless card using clever folding techniques! This tutorial video on how to make a flexagon endless card (never ending card). Never Ending Card Lagu Mp3 Mp3 Dragon from i2.wp.com Watch how i...
Komentar
Posting Komentar